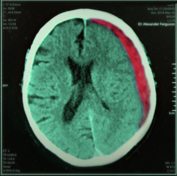
Yesterday myself and my dad watched Sir Alex Ferguson: Never Give In on Amazon prime. It was a really inspiring, heart warming documentary on his life and career. I personally wanted to watch it as he has suffered a brain injury in his later years. But you see from the program he did not let the brain haemorrhage win.

This program was very eye opening for me, he spoke some wise words I thought.
Here is a direct quote he said, ‘As human beings you have to understand adversity is part of your life’. I think that sooner you accept you’re facing adversity the quicker/sooner you can work out ways to help overcome it.
He spoke about how losing is part of life, and I assumed from experience of brain injury caused him and can cause people to lose themselves, hopefully just briefly. But lose yourself, nonetheless.
I felt saying this was very accurate and correct regarding this brain injury diversity:
‘When it happens you find yourself’
I couldn’t agree more. I have found out more about myself, my work ethic and the much needed mental strength.


It was a good eye opening watch
Sir Alex Ferguson: Never Give In